Γράφει ο Νεκτάριος Δαμίγος, Χειρουργός Οφθαλμίατρος
Ο έρπης αποτελεί μια ιογενή λοίμωξη που εκδηλώνεται σε διάφορα σημεία του σώματος. Όταν προσβάλλει τα μάτια, ο οφθαλμικός έρπης μπορεί να προκαλέσει σοβαρές διαταραχές στον κερατοειδή και την όραση. Ο έρπης είναι μία ιογενής λοίμωξη με εκδήλωση σε διάφορα σημεία του σώματος μας ανάλογα με τον τύπο του (HSV-1 )(HSV-2). Μετά την πρώτη εκδήλωση του ο ιός παραμένει στο σώμα μας και μπορεί να επανενεργοποιηθεί σε περιπτώσεις έντονου στρες,χαμηλού ανοσοποιητικού κτλ.
Πώς επηρεάζει ο οφθαλμικός έρπης τη δομή του οφθαλμού;
Η Λοίμωξη αυτή διαρκεί συνήθως 7-10 ημέρες και σε ορισμένες περιπτώσεις η προσβολή από τον τύπο HSV-1 (απλός) ή VZV (ζωστήρας) μπορεί να προκαλέσει διαταραχές στον οφθαλμό και συγκεκριμένα στην περιοχή των βλεφάρων με εμφάνιση δερματολογικών διαταραχών όπως και βλάβες στο πρόσθιο(κερατοειδής,ίριδα)και οπίσθιο ημιμόριο του(αμφιβληστροειδής).
Ποια είναι τα κύρια συμπτώματα του οφθαλμικού έρπητα;
- Έντονο άλγος και αίσθηση ξένου σώματος στο μάτι.
- Ερυθρότητα των αγγείων του επιπεφυκότα.
- Φωτοφοβία (ευαισθησία στο φως).
- Μείωση της οπτικής οξύτητας ή θολή όραση.
- Φυσαλίδες ή δερματικές αλλοιώσεις στην περιοχή των βλεφάρων.
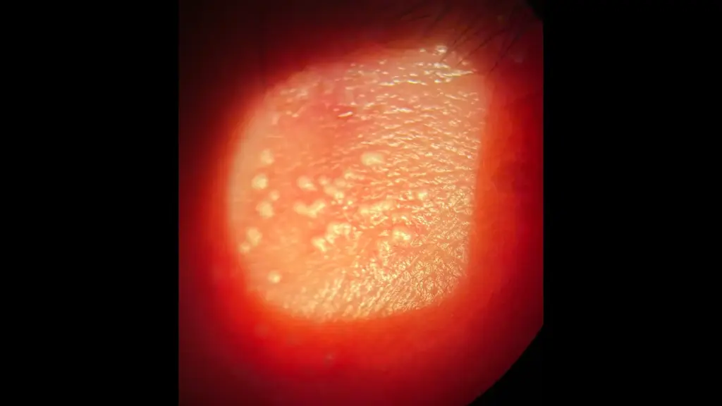
Η προσβολή στα βλέφαρα εκδηλώνεται με επώδυνη φυσαλιδώδη δερματοπάθεια καθώς και οίδημα ενώ στον κερατοειδή με την εμφάνιση έλκους που επεκτείνεται σταδιακά (δενδριτικό έλκος),προκαλώντας έντονο άλγος,ερυθρότητα αγγείων επιπεφυκότα,φωτοφοβία και σε κάποιες περιπτώσεις μείωση της οπτικής οξύτητας.Στην περίπτωση που οι βλάβη επεκταθεί σε μεγάλο μέρος του κερατοειδούς το έλκος γίνεται γεωγραφικό προκαλώντας αισθητή μείωση της όρασης και κακή πρόγνωση στην αποκατάσταση της καθώς εκτός από την επιφάνεια προσβάλλονται και βαθύτερα στρώματα του κερατοειδούς που δεν έχουν την δυνατότητα ίασης και διατήρηση της διαύγειας του.
Σε πιο προχωρημένες περιπτώσεις ο έρπης μπορεί να προκαλέσει πρόσθια(ιριδοκυκλίτιδα) η οπίσθια ραγοειδίτιδα (φλεγμονές δηλαδή) με πιο επικίνδυνη και σοβαρή την νέκρωση του αμφιβληστροειδούς καθώς και δευτεροπαθώς αύξηση την ενδοφθάλμιας πιέσεως(γλαύκωμα).Οι φλεγμονώδης αυτές προσβολές τείνουν να υποτροπιάζουν χωρίς δερματολογικές διαταραχές.
Στην θεραπεία περιλαμβάνονται κυρίως αντιικά φάρμακα σε μορφή κολλυρίου,αλοιφής,χαπιών ακόμα και ενδοφλεβίως σε πιο σοβαρές καταστάσεις.Η διάρκεια και η φαρμακευτική αγωγή καθορίζονται απ τον θεράποντα οφθαλμίατρο.




Σε περιπτώσεις που ο κερατοειδής έχει διαβρωθεί και καταστραφεί και η αποκατάσταση της όρασης δεν είναι δυνατή η μεταμόσχευση του κερατοειδούς χειρουργικά (κερατοπλαστική) αποτελεί έσχατη λύση.
Για την έγκαιρη διάγνωση και αντιμετώπιση του οφθαλμικού έρπητα, μπορείτε να προγραμματίσετε το ραντεβού σας στο ιατρείο του Χειρουργού Οφθαλμιάτρου Νεκτάριου Δαμίγου.
Ο Νεκτάριος Δαμίγος είναι Χειρουργός Οφθαλμίατρος με εξειδίκευση στις παθήσεις του προσθίου ημιμορίου και του κερατοειδούς. Διατηρεί ιδιωτικό ιατρείο στο κέντρο του Πειραιά, σε απόσταση λίγων μέτρων από τη στάση του μετρό «Δημοτικό Θέατρο»

